En esta época de carnedas, en la que aumenta el consumo de embutidos caseros, la Dirección General de Bromatología recomienda realizar los análisis correspondientes para evitar consumir carne que pueda estar afectada por la larva que causa triquinosis.
La médica veterinaria Noelia Coria indicó que existe un convenio entre el Municipio y la Universidad Nacional de Río Cuarto para que, sin costo alguno, las personas puedan llevar muestras de la faena para que sean estudiadas en el laboratorio que funciona en el campus, con el objetivo de que la enfermedad de los animales no pase a los humanos.
“Por cuestiones culturales, es normal que se hagan carneadas a nivel familiar o de amigos. Muchas veces se confían sobre la crianza de los animales y, a veces, no realizan los análisis de digestión artificial. Es allí cuando aparecen los casos y brotes de triquinosis, ya que es una enfermedad, que se transmite de animales a personas, muy común en nuestra región. De hecho, todos los años tenemos brotes e, incluso, hay casos en los que se infiltra en la vía comercial. Por eso, el análisis nos asegura la ausencia de la larva causante de la enfermedad”, explicó la funcionaria.
La veterinaria confirmó que los análisis en los laboratorios universitarios no tienen costo para los particulares. Y que los resultados están en el transcurso del día. A la vez, remarcó que para obtener un turno los interesados deben comunicarse a con el doctor Carlos Motta al teléfono (358) 430 6160; o con el doctor Joaquín Lombardelli (358) 482 4831. También se puede escribir a labtriquinaunrc@gmail.com
“La muestra a analizar debe estar correctamente preservada. La misma debe tomarse del diafragma o de los músculos maceteros y tiene que mantenerse refrigerada”, precisó Coria.
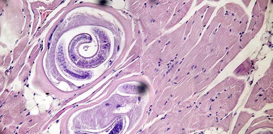
Seguidamente, la médica veterinaria comentó que la enfermedad se transmite cuando un humano consume carne cruda o mal cocida de cerdo o de especies silvestres como jabalíes o pumas que cuentan con la presencia de la larva que causa la triquinosis.
“Al consumir la carne, la larva atraviesa las paredes de nuestro intestino y se aloja en distintos músculos y se enquista. Por eso, es difícil llegar con el tratamiento médico si no se advierte a tiempo, lo que puede ocasionar problemas musculares de por vida. Es importante estar atentos ante los síntomas como fiebre alta, dolores musculares e hinchazón de la cara, para ir de inmediato al médico, en caso de haber consumido carnes con las características antes mencionadas”, detalló Coria.


